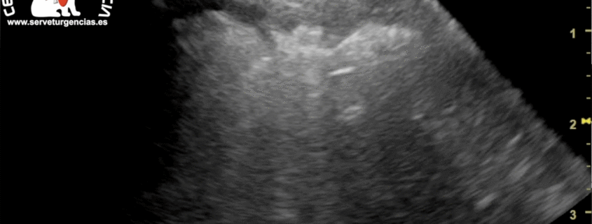
Tromboembolismo aurícula izquierda
El tromboembolismo aórtico (ATE) es un proceso por el cual se forma un trombo, típicamente en la aurícula izquierda
El tromboembolismo aórtico (ATE) es un proceso por el cual se forma un trombo, típicamente en la aurícula izquierda
El shock cardiogénico es una afección grave que ocurre cuando el corazón no puede bombear suficiente sangre y oxígeno al cerebro, los riñones y otros órganos vitales
La ventilación no invasiva (NIV, por sus siglas en inglés) con presión positiva en la vía aérea de dos niveles es una técnica no invasiva, que se refiere a la provisión de soporte ventilatorio a través de la vía aérea superior del paciente usando una helmet. Esta técnica es exitosa para corregir la hipoventilación.
El shock cardiogénico es una afección grave que ocurre cuando el corazón no puede bombear suficiente sangre y oxígeno al cerebro, los riñones y otros órganos vitales
El edema pulmonar ocurre cuando se acumula líquido en los pulmonares, esto dificulta la respiración. La presencia de liquido en los pulmones
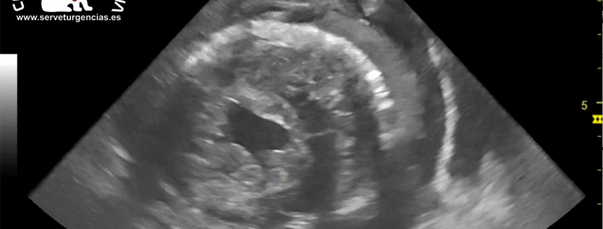
El aumento de líquido en el saco pericárdico produce un aumento de presión que lleva al colapso
Taquicardia ventricular de un animal ingresado en la UCI de Servet Urgencias
Antes de nada expresar nuestro agradecimiento a los médicos (anestesistas, internistas y especialistas en diagnóstico por imagen)
