Cuerpo extraño ecografía y endoscopia
/0 Comentarios/en Diagnóstico por imagen, Ecografia, Endoscopia y Laparoscopia, Noticias, servicios, Urgencias/por José Luis RiveiroLa mayoría de los cuerpos extraños gastrointestinales se alojan dentro del estómago y requieren una endoscopia para ser retirados.
Microcirugía en la obstrucción uréteral en Servet Urgencias
/0 Comentarios/en Cirugía general, Cirugía Láser CO2, Noticias, UCI, Urgencias/por José Luis RiveiroEcografía shock cardiogénico Servet Urgencias
/0 Comentarios/en cardiología, Cirugía torácica, Ecografia, Noticias, UCI, Urgencias/por José Luis RiveiroEl shock cardiogénico es una afección grave que ocurre cuando el corazón no puede bombear suficiente sangre y oxígeno al cerebro, los riñones y otros órganos vitales
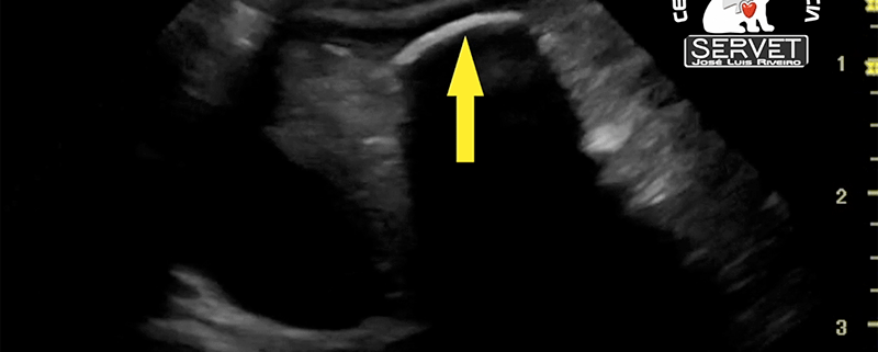
Ecografía cuerpo extraño gástrico Servet urgencias veterinarias
/0 Comentarios/en Diagnóstico por imagen, Ecografia, Noticias, Urgencias/por José Luis Riveirola ecografía abdominal tiene la capacidad de identificar un cuerpo extraño, aunque este sea radiotransparente
Edema agudo de pulmón servet urgencias veterinarias
/0 Comentarios/en cardiología, Diagnóstico por imagen, Ecografia, Noticias, UCI, Urgencias/por José Luis RiveiroEl edema pulmonar ocurre cuando se acumula líquido en los pulmonares, esto dificulta la respiración. La presencia de liquido en los pulmones






