


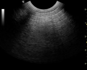
Neumoperitoneo en ecografia. En principio se aprecian múltiples líneas paralelas y equidistantes entre si. Estas lineas de interpretan como la presencia de aire.
Vistas ventrodorsal y lateral en radiografía del mismo neumoperitoneo. la presencia de aire aumenta el contraste en radiografía por consiguiente se aprecia con claridad el borde craneal hepático. El diafragma también es gracias a la presencia de aire (color negro en las Rx).


