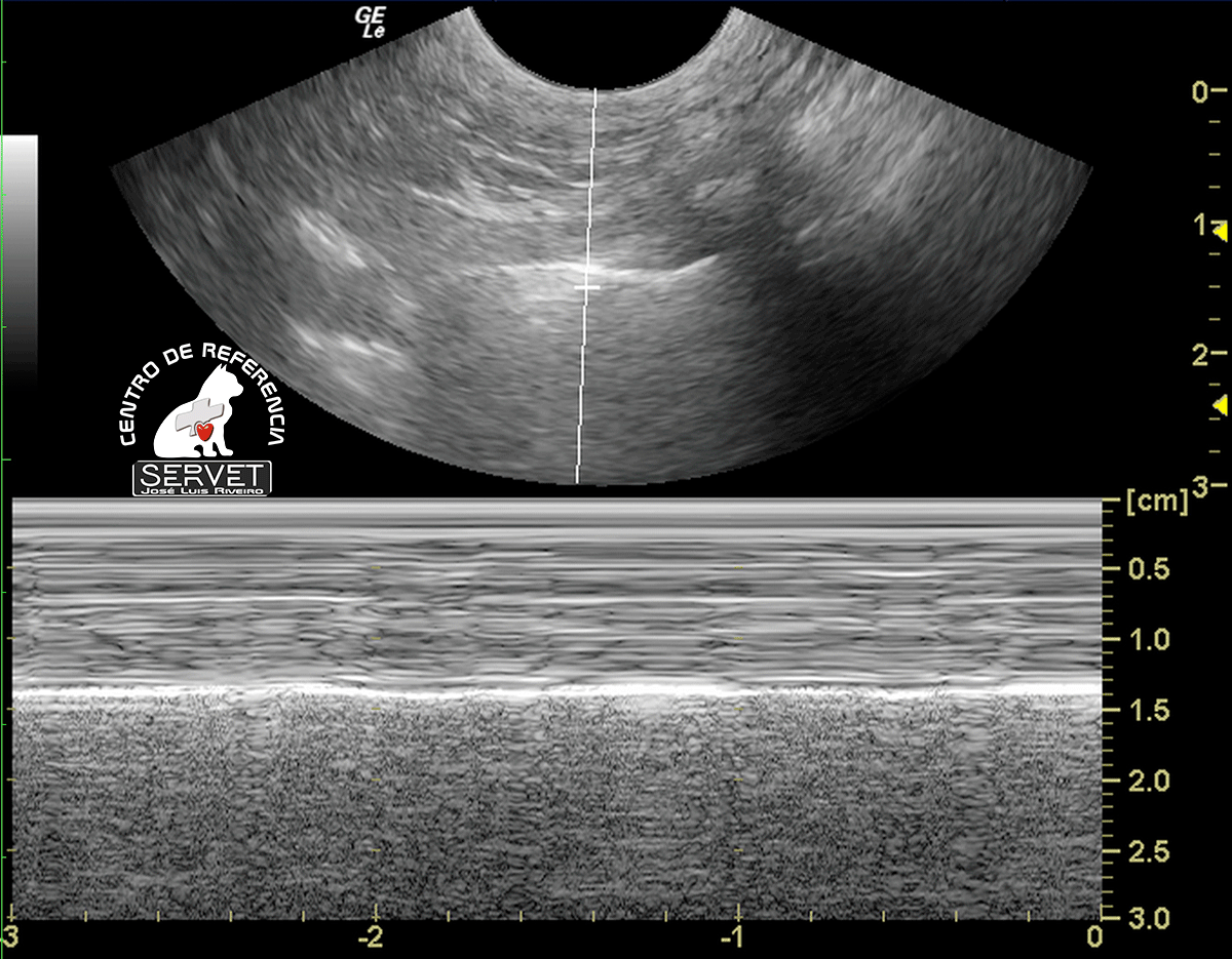
Seashore sign – pulmón normal
Si aplicamos el modo M sobre una ecografía pulmonar, se distinguen 2 zonas bien diferenciadas, que configuran el signo de la orilla (seashore sign): la parte superior, que corresponde a la pared torácica, formada por líneas horizontales paralelas (las olas del mar), y la parte inferior, desde la pleura (línea hiperecogénica a 1,4 cm de profundidad), de aspecto granulado (la arena de playa).



