La serie blanca – Interpretación y causas de las alteraciones

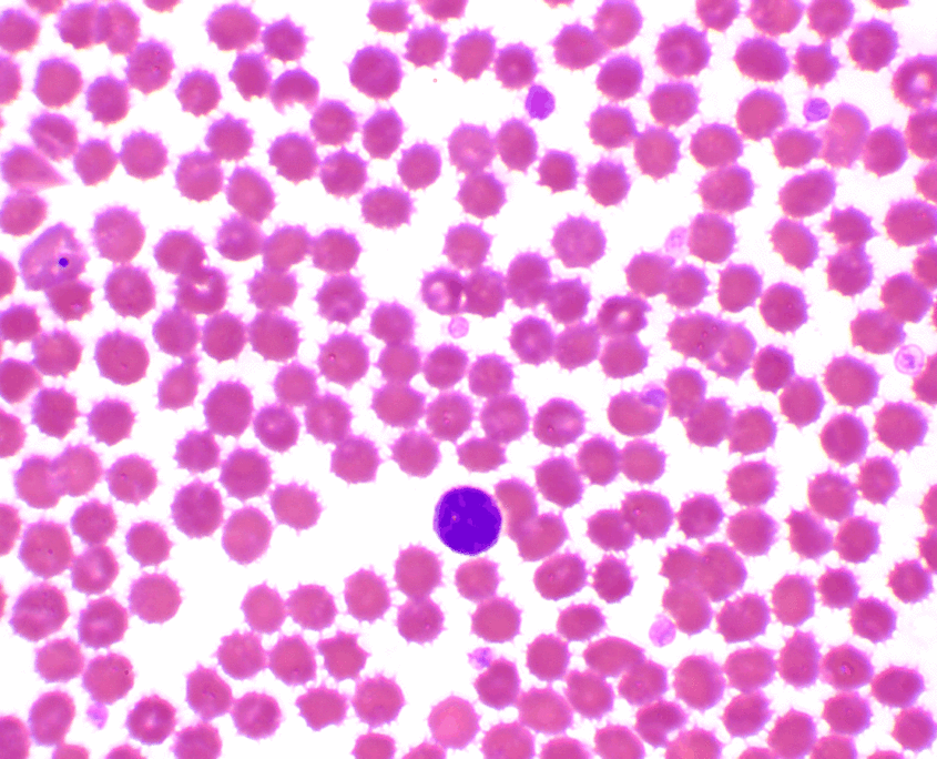
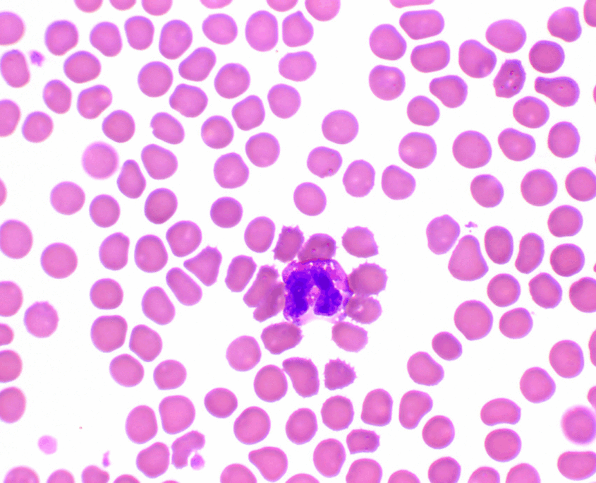
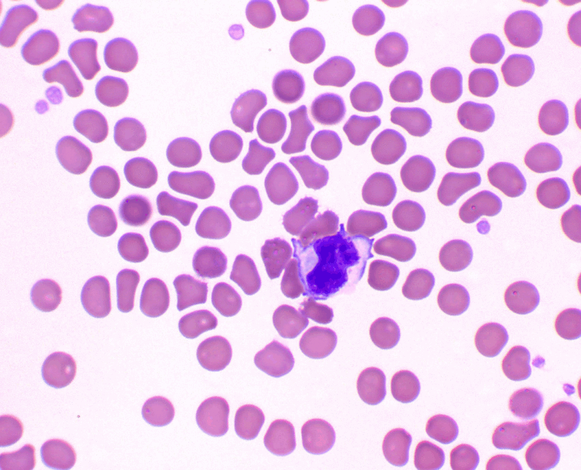
NEUTRÓFILOS

Neutrofilos